みなさんこんにちは。全国対応のレオン矯正会で院長をしております、歯科医の瀬川憂樹です。
「マウスピース矯正とワイヤー矯正、どっちがいいの?」──矯正治療を検討されている患者さまから、最もよくいただくご質問のひとつです。
結論からお伝えすると、どちらが優れているということはなく、患者さまの歯並びの状態・ライフスタイル・ご希望によって最適な方法は異なります。
そこで今回は、マウスピース矯正とワイヤー矯正の違いを、費用・治療期間・痛み・見た目・仕上がりなど、あらゆる角度から比較しながら、後悔しない選び方を詳しくご紹介します。
歯科医 瀬川 憂樹どちらの矯正方法にもメリット・デメリットがあります。大切なのは、ご自身のお口の状態やライフスタイルに合った方法を選ぶことです。
マウスピース矯正とワイヤー矯正の違いを一覧表で比較
まずは、マウスピース矯正とワイヤー矯正の主な違いを一覧表で確認しましょう。
| 比較項目 | マウスピース矯正 | ワイヤー矯正(表側) |
|---|---|---|
| 見た目 | 透明で目立ちにくい | 金属の装置が見える |
| 取り外し | 自分で取り外し可能 | 取り外しできない |
| 痛み | 比較的少ない | 調整後に痛みが出やすい |
| 適応症例 | 軽度〜中等度 | 軽度〜重度まで幅広い |
| 治療期間 | 1年半〜3年程度 | 1年半〜3年程度 |
| 通院頻度 | 1〜3ヶ月に1回 | 月1回程度 |
| 費用相場(全体矯正) | 60万〜100万円 | 60万〜120万円 |
| 食事 | 外して普段通り食べられる | 硬いもの・粘着性のある食べ物に注意 |
| 歯磨き | 外して普段通り磨ける | 装置の周りに汚れが溜まりやすい |
| 自己管理 | 1日20〜22時間の装着が必要 | 装置が固定されているため不要 |
| 金属アレルギー | 心配なし | リスクあり(対応素材の選択可) |
このように、マウスピース矯正とワイヤー矯正はそれぞれ異なる特徴を持っています。以下で、各項目について詳しく見ていきましょう。
見た目・目立ちやすさの違い
マウスピース矯正は透明な装置を使用するため、装着していてもほとんど気づかれません。接客業や営業職など、人前に出るお仕事をされている方に選ばれることが多いです。
一方、ワイヤー矯正は歯の表面に金属のブラケットとワイヤーを装着するため、口を開けたときに装置が見えます。白い審美ブラケットを使用することで目立ちにくくすることもできますが、マウスピース矯正ほどの目立ちにくさは期待できません。
なお、ワイヤー矯正には歯の裏側に装置をつける裏側(舌側)矯正もあります。外から見えにくい一方、費用は80万〜170万円と高額になります。
痛み・違和感の違い
どちらの矯正方法でも、歯を動かす際には多少の痛みや違和感が伴います。ただし、痛みの出方には違いがあります。
- マウスピース矯正──1〜2週間ごとにマウスピースを交換し、少しずつ力を加えるため、1回あたりの痛みが分散されます。口内炎にもなりにくいです
- ワイヤー矯正──月1回の調整で一度に力をかけるため、調整後数日間は痛みが出やすい傾向があります。ワイヤーやブラケットが頬や唇に当たって口内炎ができることもあります
いずれの場合も、痛みは数日で落ち着くことがほとんどです。痛みが強い場合には痛み止めを服用していただくことも可能です。
食事と歯磨きのしやすさ
マウスピース矯正は取り外しが可能なため、食事も歯磨きもこれまで通り行えます。衛生的に保ちやすいのは大きなメリットです。
ワイヤー矯正は装置が固定されているため、硬いものや粘着性のある食べ物(ガム、キャラメルなど)には注意が必要です。また、ブラケットの周りに食べカスや歯垢が溜まりやすいため、丁寧な歯磨きが求められます。
自己管理の負担
マウスピース矯正は1日20〜22時間の装着が必要です。食事と歯磨き以外の時間は常に装着していただく必要があり、装着時間を守れないと治療が計画通りに進みません。マウスピースの作り直しが必要になり、治療期間が延びてしまうこともあります。
ワイヤー矯正は装置が歯に固定されているため、自己管理の必要がありません。「自分で管理する自信がない」という方にはワイヤー矯正のほうが合っている場合もあります。
マウスピース矯正のメリット・デメリット
マウスピース矯正のメリット
- 透明で目立ちにくい──装着していてもほとんど気づかれません
- 取り外しが可能──食事も歯磨きも普段通り行えます
- 痛みに配慮した治療──少しずつ力を加えるため、痛みが出にくい傾向があります
- 金属アレルギーの心配がない──プラスチック素材のため安心です
- 事前シミュレーションが可能──3Dスキャンで治療後のイメージを事前に確認できます
- 通院回数が少ない──1〜3ヶ月に1回の通院で済む場合が多いです
マウスピース矯正のデメリット
- 装着時間の自己管理が必要──1日20〜22時間の装着を守る必要があります
- 重度の不正咬合には対応できない場合がある──骨格性の問題や歯の大きなねじれには限界があります
- 飲食時に取り外す手間がある──外食や間食のたびに着脱が必要です

ワイヤー矯正のメリット・デメリット
ワイヤー矯正のメリット
- 幅広い症例に対応可能──重度の叢生、骨格性の不正咬合にも対応できます
- 自己管理の負担が少ない──装置が固定されているため、装着し忘れの心配がありません
- 歯を大きく動かす治療に向いている──抜歯を伴う矯正や複雑な歯の移動にも効率的です
- 歴史と実績が豊富──長年にわたる治療実績があり、ドクターの経験値が蓄積されています
ワイヤー矯正のデメリット
- 装置が目立ちやすい──金属のブラケットとワイヤーが見えるため、見た目が気になる方もいます
- 食事に制限がある──硬いもの、粘着性のある食べ物は装置の破損リスクがあります
- 歯磨きがしにくい──装置の周りに汚れが溜まりやすく、虫歯・歯周病のリスクが高まります
- 口内炎ができやすい──ワイヤーやブラケットが頬や唇の粘膜に当たることがあります
- 通院頻度が多い──月1回程度の調整が必要です

マウスピース矯正が向いている人の特徴
以下に当てはまる方には、マウスピース矯正がおすすめです。
- 見た目を重視する方──接客業・営業職など人前に出るお仕事の方。当院の10代の患者さまからも「友達にもバレずに矯正できてよかった」というお声をいただいています
- 食事や歯磨きを普段通りにしたい方──取り外しできるため、生活への影響が少ないです
- 自己管理ができる方──装着時間をしっかり守れる方に向いています
- 金属アレルギーがある方──金属を一切使用しないため安心です
- 痛みに配慮した治療を希望する方──力を分散して歯を動かすため、痛みが出にくい傾向があります
- 通院回数を少なくしたい方──1〜3ヶ月に1回の通院で済む場合が多いです
※個人の感想です。治療効果には個人差があります。
ワイヤー矯正が向いている人の特徴
以下に当てはまる方には、ワイヤー矯正がおすすめです。
- 重度の歯並びの乱れ・噛み合わせの問題がある方──骨格性の出っ歯、受け口、重度の叢生などにも対応できます
- 自己管理に不安がある方──装置が固定されているため、装着し忘れの心配がありません
- 抜歯を伴う矯正が必要な方──歯を大きく動かす必要がある場合、ワイヤー矯正のほうが効率的なことがあります
- 見た目よりも治療精度を最優先する方──複雑な歯の移動を精密にコントロールできます
【症状別】マウスピースとワイヤーどっちがいい?
「自分の歯並びの場合はどっちがいいの?」と気になる方も多いと思います。ここでは、代表的な症状ごとにおすすめの矯正方法をご紹介します。
| 症状 | おすすめの矯正方法 | 理由 |
|---|---|---|
| 軽度のガタガタ(叢生) | マウスピース矯正 | 少しの歯の移動で改善できるため、マウスピースで対応しやすい |
| 重度のガタガタ(叢生) | ワイヤー矯正 | 抜歯を伴う大きな歯の移動が必要になるケースが多い |
| 出っ歯(上顎前突) | 症状による | 軽度ならマウスピース、骨格性の問題がある場合はワイヤー |
| 受け口(下顎前突) | ワイヤー矯正 | 骨格的な問題が関係していることが多く、精密なコントロールが必要 |
| すきっ歯(空隙歯列) | マウスピース矯正 | 歯の隙間を閉じる動きはマウスピースが得意 |
| 開咬(前歯がかみ合わない) | ワイヤー矯正 | 歯の圧下(沈める動き)が必要で、ワイヤーのほうが効率的 |
| 過蓋咬合(かみ合わせが深い) | 症状による | 軽度〜中等度ならマウスピースで対応可能。重度はワイヤーを検討 |


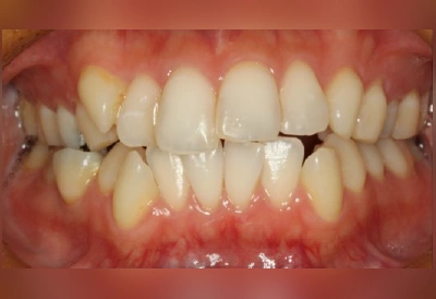
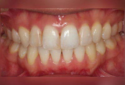
治療内容:マウスピース矯正(インビザライン)/費用:880,000円(税込)/治療期間:26ヶ月
※歯が動くことで痛みや違和感を感じることがあります。治療中に清掃が不十分だと、虫歯や歯周病のリスクが高まります。治療後のリテーナーの使用が不十分だと、歯が後戻りすることがあります。
歯科医 瀬川 憂樹上の表はあくまで一般的な目安です。同じ症状でも患者さまによって最適な方法は変わりますので、まずはカウンセリングでお口の状態を拝見させてください。
子どもの矯正はマウスピースとワイヤーどっちがいい?
「子どもの矯正はマウスピースとワイヤー、どっちがいいですか?」──保護者の方からよくいただくご質問です。
お子さまの矯正は、年齢と歯並びの状態によっておすすめの方法が異なります。
第一期治療(6〜10歳頃)
乳歯と永久歯が混在する時期の治療です。この時期は顎の成長をコントロールし、永久歯がきれいに生えるためのスペースを確保することが目的です。
インビザライン・ファースト(お子さま向けマウスピース矯正)で対応できるケースもありますが、顎の発育に問題がある場合は取り外し式の装置やワイヤーを使用することもあります。
第二期治療(12歳以降)
永久歯が生え揃った後の治療です。大人と同じくマウスピース矯正・ワイヤー矯正のどちらも選択できます。
- 軽度〜中等度の歯並びの乱れ──マウスピース矯正が対応可能。透明で目立たないため、学校生活でも安心です
- 重度の歯並びの乱れ・噛み合わせの問題──ワイヤー矯正のほうが効率的に対応できる場合があります
当院の10代男性の患者さまからは「友達にもバレずに矯正できてよかった」というお声をいただいています。マウスピース矯正は取り外しもできるため、部活動(スポーツ・吹奏楽)にも支障が少ないのが特徴です。
※個人の感想です。治療効果には個人差があります。
子どもの矯正を始める目安
受け口や重度のガタガタがある場合は小学校低学年(6〜8歳)のうちに一度ご相談いただくことをおすすめします。成長期の顎の発育を活かすことで、将来の抜歯矯正の可能性を軽減できる場合があります。
マウスピースとワイヤーの費用はどっちが安い?
「マウスピースとワイヤー、どっちが安いの?」という費用面のご質問も非常に多いです。
| 矯正方法 | 部分矯正の費用相場 | 全体矯正の費用相場 |
|---|---|---|
| マウスピース矯正 | 10万〜50万円 | 60万〜100万円 |
| 表側ワイヤー矯正 | 15万〜40万円 | 60万〜120万円 |
| 裏側(舌側)矯正 | 30万〜60万円 | 80万〜170万円 |
一般的に、マウスピース矯正と表側ワイヤー矯正の費用相場はほぼ同程度です。裏側矯正と比較すると、マウスピース矯正のほうが大幅に費用を抑えることができます。
なお、マウスピースの仕入れ価格はどの歯科医院でも同じです。費用の違いは、ドクターの技術料やサービス内容の差によるものです。
費用を抑える方法
矯正は多くが自由診療ですが、費用のご負担を軽減する方法があります。
- 医療費控除の活用──治療目的の矯正は医療費控除の対象になります。たとえば治療費88万円・年収500万円の場合、約23万円の還付が期待できます
- モニター制度──当院ではモニター制度をご用意しており、見積もり金額から20%割引で治療をお受けいただけます
- デンタルローン──月々1万円前後からの分割払いも可能です

マウスピースとワイヤーの治療期間はどっちが早い?
「どっちが早く終わるの?」というご質問も多くいただきます。
結論としては、全体矯正の場合、マウスピースもワイヤーも治療期間は1年半〜3年程度でほぼ同じです。
| 矯正方法 | 部分矯正 | 全体矯正 |
|---|---|---|
| マウスピース矯正 | 半年〜1年半 | 1年半〜3年 |
| ワイヤー矯正 | 半年〜1年半 | 1年半〜3年 |
ただし、以下のような場合には差が出ることがあります。
- 歯を大きく動かす必要がある場合──ワイヤー矯正のほうが効率的に動かせるため、早く終わることがあります
- マウスピースの装着時間を守れない場合──治療が計画通りに進まず、マウスピースの作り直しが必要になり期間が延びることがあります
- 軽度の歯並びの乱れの場合──マウスピース矯正で短期間(半年〜1年程度)で完了するケースもあります
矯正終了後は、どちらの方法でも保定期間(1〜3年程度)が必要です。リテーナーという保定装置を使用し、歯が元の位置に戻らないようにします。保定期間中のリテーナーの装着をおろそかにすると後戻りしてしまうリスクがありますので、しっかり使用していただくことが大切です。
マウスピース矯正とワイヤー矯正のよくある誤解5選
矯正方法を選ぶ際に、誤った情報をもとに判断してしまうケースがあります。ここでは、よくある誤解を5つご紹介します。
誤解1:「マウスピース矯正なら抜歯は不要」
マウスピース矯正でも、歯を並べるスペースが足りない場合には抜歯が必要になることがあります。「マウスピースなら抜かずに済む」とは限りませんので、抜歯の要否は歯並びの状態によって判断します。
誤解2:「マウスピース矯正は痛くない」
マウスピース矯正はワイヤー矯正に比べて痛みに配慮した治療ですが、まったく痛みがないわけではありません。マウスピースの交換時や新しいマウスピースに変えた直後には、圧迫感や軽い痛みを感じることがあります。
誤解3:「ワイヤー矯正は時代遅れ」
マウスピース矯正の普及により、ワイヤー矯正が古い方法と思われがちですが、ワイヤー矯正にしかできない治療もあります。重度の不正咬合や複雑な歯の移動には、今でもワイヤー矯正が最適な選択肢となるケースが多いです。
誤解4:「安いマウスピース矯正でも同じ結果が得られる」
近年、低価格のマウスピース矯正サービスが増えていますが、対応できる症例が限定されていたり、追加費用が別途発生するケースもあります。費用だけでなく、担当するドクターの経験・実績や、保証制度の有無も確認されることをおすすめします。
誤解5:「どちらか一方しか選べない」
実は、マウスピース矯正とワイヤー矯正を組み合わせる「コンビネーション矯正」という方法もあります。たとえば、最初にワイヤー矯正で大きく歯を動かし、仕上げにマウスピース矯正で微調整を行うケースです。それぞれの長所を活かすことで、より効率的な治療が可能になることもあります。
歯科医 瀬川 憂樹ネットの情報だけで判断せず、専門の歯科医師に相談されることが大切です。当院ではLINEでのオンライン無料診断も行っておりますので、お気軽にご利用ください。
知恵袋で多い質問に矯正歯科医が回答
Yahoo!知恵袋などのQ&Aサイトでは、マウスピースとワイヤーの比較について多くの質問が寄せられています。ここでは、よくある質問に専門家の立場からお答えします。
Q.「マウスピース矯正の仕上がりはワイヤー矯正と同じですか?」
軽度〜中等度の歯並びの乱れであれば、マウスピース矯正でもワイヤー矯正と同等の仕上がりが期待できます。ただし、重度の症例や複雑な歯の移動が必要な場合は、ワイヤー矯正のほうがより精密な仕上がりになることがあります。仕上がりに差が出るかどうかは、症例の難易度とドクターの技術によります。
Q.「マウスピース矯正で失敗した人がいるって本当?」
どの矯正方法にも、思い通りの結果にならないリスクはゼロではありません。マウスピース矯正の場合、装着時間を守らないことが「失敗」の最大の原因です。また、適応でない症例に無理にマウスピース矯正を適用してしまうケースもあります。ドクターの診断力と経験が重要ですので、クリニック選びは慎重に行っていただくことをおすすめします。
Q.「途中でマウスピースからワイヤーに変更できますか?」
変更は可能です。マウスピース矯正で計画通りに進まない場合や、途中でワイヤー矯正のほうが適していると判断された場合には、治療方法を切り替えることもあります。逆に、ワイヤー矯正からマウスピース矯正に移行するケースもあります。
Q.「マウスピースとワイヤー、後悔しないのはどっち?」
後悔しないためのポイントは、「自分の症例に合った方法を選ぶこと」です。見た目や費用だけで選ぶのではなく、まずはカウンセリングでお口の状態を診てもらい、ドクターと一緒に最適な治療方法を決めることが大切です。
マウスピースとワイヤーどっちがいい?まとめ
マウスピース矯正とワイヤー矯正の選び方について、今回のポイントをまとめます。
- どちらが優れているとは言えない──歯並びの状態・ライフスタイル・ご希望によって最適な方法は異なります
- 見た目重視・自己管理できる方──マウスピース矯正がおすすめです
- 重度の歯並び・自己管理に不安がある方──ワイヤー矯正がおすすめです
- 費用はほぼ同程度──マウスピース60万〜100万円、ワイヤー60万〜120万円
- 治療期間もほぼ同程度──全体矯正は1年半〜3年。ただし症例によって差あり
- 子どもの矯正──年齢・症状によって使い分け。軽度ならマウスピース、重度ならワイヤーも検討
- 後悔しない選び方──自分の症例に合った方法を、経験豊富なドクターと一緒に決めること
当院の瀬川院長はインビザラインのBLACK DIAMONDプロバイダー(年間400症例以上)に認定されており、世界でもわずか1%のトッププロバイダーとして豊富な治療実績があります。マウスピース矯正だけでなく、ワイヤー矯正との比較も含めて、患者さまに最適な治療方法をご提案いたします。

当院ではLINEでの無料オンライン見積もりにも対応しています。歯の写真3枚をお送りいただくだけで、48時間以内に診断結果と見積もりをお返しいたします。
「自分にはマウスピースとワイヤー、どっちが合っているんだろう?」と迷われている方は、ぜひお気軽にご相談ください。
歯科医 瀬川 憂樹矯正治療を必要としている方が1人でも多く救われるよう、人生をかけて矯正治療に取り組んでおります。まずはお気軽にご相談ください。


